Many people encounter impacts related to missing teeth. In the past, tooth extraction was a routine dental practice, especially for posterior teeth. Current research indicates that this approach may lead to several subsequent effects.
Teeth Movement
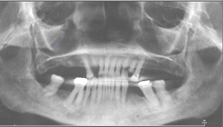
Following extraction of a lower tooth, the opposing upper tooth can move downward due to loss of support, resulting in root exposure, increased sensitivity, higher susceptibility to gum infection, and potential loosening, possibly necessitating further removal. Likewise, the posterior molar adjacent to the gap may tilt forward because of reduced lateral support. These positional changes alter bite alignment, as the upper molar may contact the edge of the affected area, potentially leading to progressive misalignment and further tooth loss. The absence of multiple teeth can affect oral structural stability and modify facial contours as lips and gums lose support.
Bone Loss
The jawbone under the gums supports tooth roots and requires stimulation to maintain its structure. Removal of a tooth causes the surrounding bone to resorb, with possible decreases of up to 25% in width within the first year and up to 4mm in height over time. This reduction can result in:
Facial Support
Reduced teeth, gum, and jawbone mass can impact overall facial support, leading to changes such as lip drooping and hollowing of the cheeks as jawbone density declines.
Irreplaceability
As bone deteriorates around an absent tooth and adjacent teeth shift into the space, restoring the tooth becomes increasingly difficult. Dental implants provide one solution, but they require sufficient bone quantity and quality for successful placement and integration.

Solution
There are several options available for addressing missing teeth, contingent upon the patient’s remaining bone structure, offered at Amazing Dental Care. Bone grafting is commonly conducted concurrently with tooth extraction; following removal, new bone material is placed into the socket. The extraction site is then sutured, allowing the graft to heal and integrate with surrounding tissue, thereby facilitating the growth of new bone that fills the void created by the extraction.